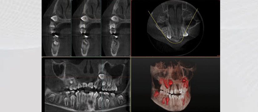
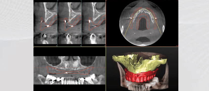
Our clinic pledges to offer you the best quality services with the latest technology equipments, such as OWANDY IMAX TOUCH CEPH. This amazing equipment provides high-definition images for an unmistakable diagnostication. OWANDY is the leader of dental imagery in France ,America ,Germany and more. The newest product OWANDY I-Max Touch 3D provides all the radiographic services in one device.
Equipped with 17 different programs ,it provides every clinical examination including:
- Panoramic View
- TMJ Closed Mouth
- TMJ Open Mouth
- Sinus Exam
- 3D Detntition Positioning
- 3D TMJ Left Positioning
- 3D TMJ Right Positioning
- 3D Sinus Positioning
- Cephalometric Examination
- Carpus Examination
- Spinal Center






