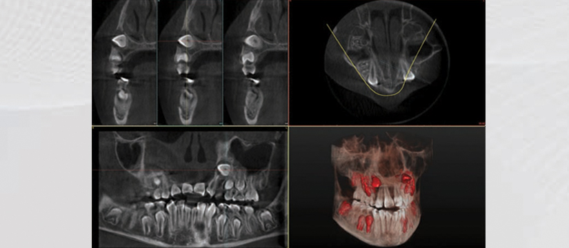
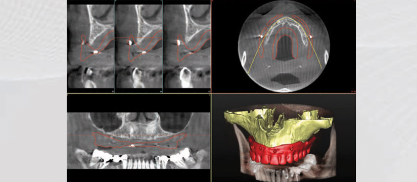
Klinika jonë premton se do t’ju ofrojë gjithnjë cilësinë më të lartë të shërbimit, me fjalën më të fundit të teknologjisë. Së fundmi ne jemi pajisur me pajisjen OWANDY IMAX TOUCH 3D. Kjo pajisje siguron me thjeshtësi dhe efikasitet imazhe high-definition për një diagnostikim të pagabueshëm. OWANDY është lideri i prodhimit të pajisjeve radiografike dentare në Francë, Amerikë, Gjermani e më gjerë. Produkti më i ri i OWANDY I-Max Touch 3D siguron të gjitha shërbimet radiografike në një aparaturë të vetme.
Aparatura posedon 17 programe të ndryshme ku mund të behën incizime si:
- Panoramë
- TMJ Gojëmbyllur
- TMJ Gojëhapur
- Egzaminim i Sinusit
- 3D Dentare
- 3D TMJ Pozicioni majtas
- 3D TMJ Pozicioni djathtas
- 3D Pozicioni i sinusit
- Egzaminim Cefalometrik
- Egzaminim Carpus
- Spinal Center






